Cytokeratin 19 Recombinant Rabbit Monoclonal Antibody

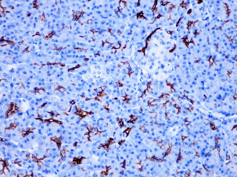
Cytokeratin 19 is the smallest keratin and is exceptional since it widely lacks the non--helical tail domain typical for all other keratins. It may have evolved from keratinocyte keratins.Cytokeratin 19 is expressed in most simple epithelia (excluding parenchymatous cells such as hepatocytes, pancreatic acinar cells, and renal proximal tubular cells), notably in various ductal epithelia, in small and large intestinal epithelium, in gastric foveolar epithelium, and in mesothelium. Furthermore, it is present in most cells of pseudostratified epithelia and urothelium as well as in basal cells of non-keratinizing stratified squamous epithelium. In carcinomas, cytokeratin 19 is widely expressed in both adenocarcinomas and squamous cell carcinomas and therefore is not extensively used as an immunohistochemical marker for carcinoma subtyping.Cytokeratin 19 is not expressed in most hepatocytes, therefore cytokeratin 19 is useful in the identification of liver metastasis and can be used in a panel with Hepatocyte Specific Antigen.

Specifications

Catalog No.
BX50017
Clone No.
BP6022
Application
IHC-P
Subcellular location
Cytoplasm
Control
Thyroid cancer
Recommended method
HIER
Volume
100μl/vial, 1ml/vial
Dilution
1:100-1:200
Immunogen
Synthetic peptide corresponding to cytokeratin 19 residues within aa1‐100 of cytokeratin 19 was used as an immunogen.

Reference

1.Barroeta JE, et.al,Endocr Pathol. 2006 Fall;17(3):225-34.
2.Schmitt AM, et.al,Am J Surg Pathol. 2007 Nov;31(11):1677-82.

Support Documents

Order

  • E-mail : sales@biolynx.cn

Contact Us

Address
Hangzhou Bailing (Biolynx)  Biotechnology Co., Ltd. Room 1303 Bldg 5, #688 Bin’an Road Tianhe High-tech Park, Binjiang District Hangzhou, Zhejiang, China
310052
Phone & Fax
+86 571 88177680
+86 571 88177681
Web & Mail
Email:sales@biolynx.cn
www.biolynxtec.com

Follow Us

Scan QR Codes on Your Phone