E-Cadherin Recombinant Rabbit Monoclonal Antibody

E-cadherin is a transmembrane, calcium dependent cell adhesion protein that mediates cell to cell adhesion and maintains structural and functional integrity of epithelial tissues. It also has pivotal barrier functions and maintains the polarity of epithelial cells. Reduced or aberrant E-cadherin expression breaks cell to cell contacts, and thus, cells acquire the ability to migrate.

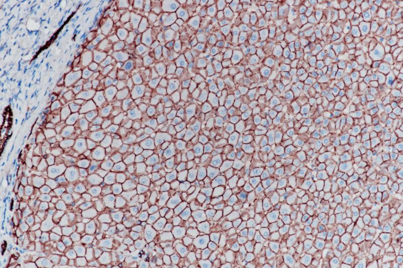
In normal tissues, immunostaining of E-cadherin is localized to the membrane of epithelial cells, consistent with its role in cell adhesion. And in tumor tissues, E-cadherin stains positively in glandular epithelium as well as adenocarcinomas of the lung, gastrointestinal tract, and ovary. It has also been shown to be positive in some thyroid carcinomas.

A combination of E-cadherin and p120 catenin may help distinguish ductal carcinoma of the breast from lobular carcinoma. And also, several studies have reported that reduced E-cadherin expression is correlated with poor prognosis in several types of carcinomas.

Specifications

Catalog No.
BX50043
Clone No.
BP6048
Application
IHC-P
Subcellular location
Membrane
Control
Liver
Recommended method
HIER
Volume
100μl/vial, 1ml/vial
Dilution
1:100-1:200
Immunogen
Synthetic peptide corresponding to E-Cadherin residues within aa600-700 of E-cadherin was used as an immunogen.

Reference

1.Xie Y, et al. Oncotarget. 2017 Aug 4;8(37):62489-62499.
2.F. van Roy, et al. Cell Mol Life Sci. 2008 Nov;65(23):3756-88.

Support Documents

Order

  • E-mail : sales@biolynx.cn

Contact Us

Address
Hangzhou Bailing (Biolynx)  Biotechnology Co., Ltd. Room 1303 Bldg 5, #688 Bin’an Road Tianhe High-tech Park, Binjiang District Hangzhou, Zhejiang, China
310052
Phone & Fax
+86 571 88177680
+86 571 88177681
Web & Mail
Email:sales@biolynx.cn
www.biolynxtec.com

Follow Us

Scan QR Codes on Your Phone