EpCAM Recombinant Rabbit Monoclonal Antibody

Epithelial cell adhesion molecule (EpCAM) is a transmembrane glycoprotein, may act as a physical homophilic interaction molecule between intestinal epithelial cells (IECs) and intraepithelial lymphocytes (IELs) at the mucosal epithelium for providing immunological barrier as a first line of defense against mucosal infection. It plays a role in embryonic stem cells proliferation and differentiation, and it up-regulates the expression of FABP5, MYC and cyclins A and E.

This glycoprotein is located on the cell membrane surface (preferentially basolaterally) and in the cytoplasm of virtually all epithelial cells with the exception of most squamous epithelia, hepatocytes, renal proximal tubular cells, gastric parietal cells and myoepithelial cells. However, focal positivity may be seen in the basal layer of squamous cell epithelium of endoderm (e.g., palatine tonsils) and mesoderm (e.g., uterine cervix). Normal mesothelial cells are EpCAM negative, but may express focal reaction when undergoing reactive changes. EpCAM has been seen in the majority of epithelial neoplasms, whereas most non-epithelial neoplasms do not show EpCAM expression.

In conjunction with other markers, EpCAM can be used as an aid in determining neoplasms of epithelial origin, such as distinguishing between lung adenocarcinoma and mesothelioma.

Specifications

Catalog No.
BX50051
Clone No.
BP6056
Application
IHC-P
Subcellular location
Membrane
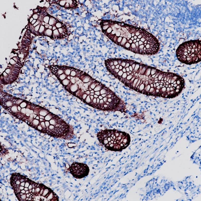
Control
Colon
Recommended method
HIER
Volume
100μl/vial, 1ml/vial
Dilution
1:100-1:200
Immunogen
Synthetic peptide corresponding to EpCAM residues within aa1-100 of EpCAM was used as an immunogen.

Reference

1.Latza et al. J Clin Pathol. 1990;43:213-19.
2.Ordonez NG et al. Am J Clin Pathol 1998;109(1):85-89.

Support Documents

Order

  • E-mail : sales@biolynx.cn

Contact Us

Address
Hangzhou Bailing (Biolynx)  Biotechnology Co., Ltd. Room 1303 Bldg 5, #688 Bin’an Road Tianhe High-tech Park, Binjiang District Hangzhou, Zhejiang, China
310052
Phone & Fax
+86 571 88177680
+86 571 88177681
Web & Mail
Email:sales@biolynx.cn
www.biolynxtec.com

Follow Us

Scan QR Codes on Your Phone