ER Recombinant Rabbit Monoclonal Antibody

Estrogen receptor (ER) belongs to the steroid receptor superfamily of nuclear receptors. It is a protein with 553 amino acids. The receptor molecule has three domains, i.e. the central DNA-binding domain, the hormone-binding domain at the C-terminal, and the transcription-activating domain at the N-terminal. ER mediates regulatory functions of female sex steroids, mainly 17 (E2), on growth, differentiation and function in several target tissues, including female and male reproductive tract, mammary gland, and skeletal and cardiovascular systems.

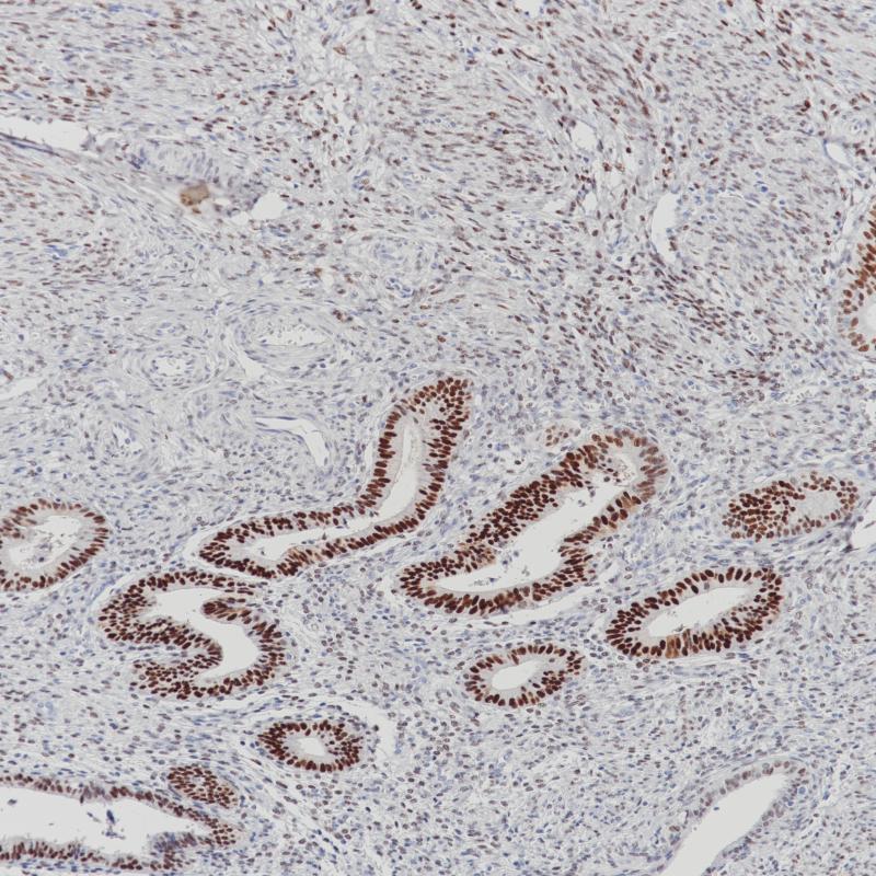
Studies have shown ER α is present in the nuclei of epithelial cells in normal breast and endometrial tissues, as well as a subset of breast carcinomas.

Studies with immunohistochemical assay show that positive steroid hormone status has predicted favourable overall, survival, independently of hormonal treatment. Secondly, ER α can be used as a tumour marker, preferentially in combination with an antibody to progesterone receptor, e.g., in the classification of adenocarcinomas.

Specifications

Catalog No.
BX50135
Clone No.
BP6139
Application
IHC-P
Subcellular location
Nucleus
Control
Breast Carcinoma Tissue
Recommended method
HIER
Volume
100μl/vial, 1ml/vial
Dilution
1:100-1:200
Immunogen
Synthetic peptide corresponding to ER alpha residues within aa495‐595 of ER alpha was used as an immunogen.

Reference

1.Stein B, et.al, Mol Cell Biol. 1995 Sep;15(9):4971-9.

2.Saville B, et.al,J Biol Chem. 2000 Feb 25;275(8):5379-87.

Support Documents

Order

  • E-mail : sales@biolynx.cn

Contact Us

Address
Hangzhou Bailing (Biolynx)  Biotechnology Co., Ltd. Room 1303 Bldg 5, #688 Bin’an Road Tianhe High-tech Park, Binjiang District Hangzhou, Zhejiang, China
310052
Phone & Fax
+86 571 88177680
+86 571 88177681
Web & Mail
Email:sales@biolynx.cn
www.biolynxtec.com

Follow Us

Scan QR Codes on Your Phone