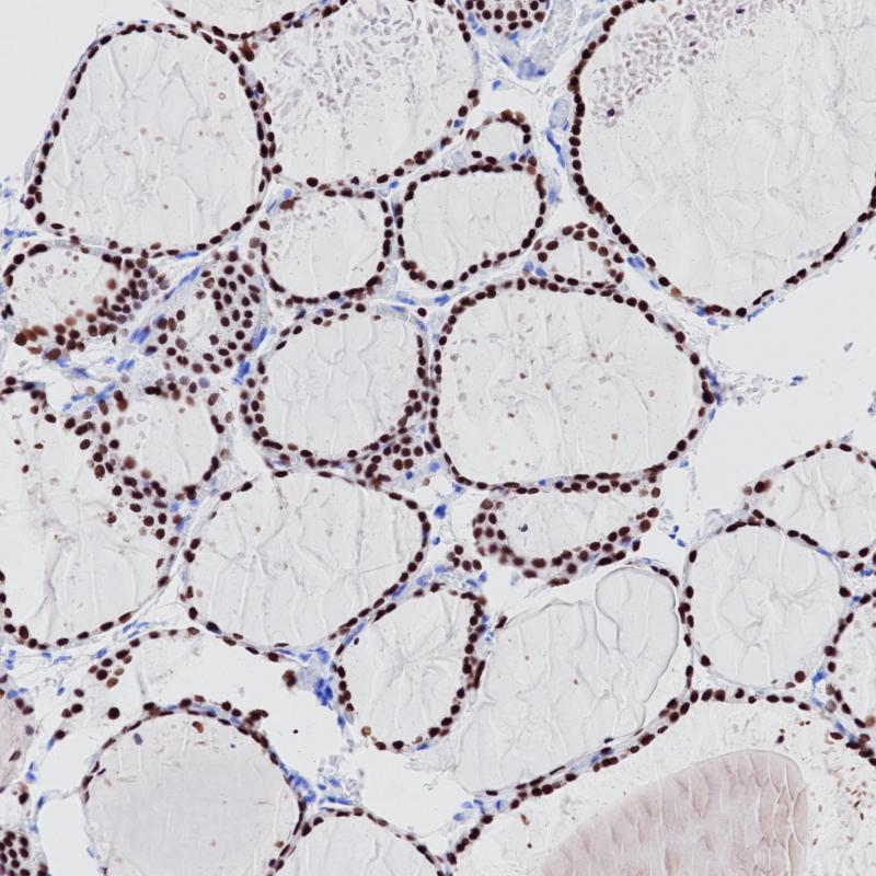
TTF-1 Recombinant Rabbit Monoclonal Antibody

Thyroid transcription factor-1 (synonymes: Homeobox protein Nkx-2.1) is a 371 amino acid protein, 39 KDa, which belongs to the NKX homeobox transcription factor family. TTF-1 stimulate or repress transcription of particular genes by binding to their regulatory sequences. TTF-1 plays a role in regulating genes in the thyroid, lung and brain. Its molecular targets in the thyroid gland are thyroglobulin, thyroperoxidase and thyrotropin receptor. TTF-1 activates transcription of the genes encoding these proteins. In lung, TTF-1 promotes the transcription of the surfactant proteins A to D, and the Clara cell secretory protein. In brain, the molecular targets of TTF-1 are unknown. Besides being a tissue-specific transcription promoter in adult organs, TTF-1 has been suggested a role in morphogenesis and cytodifferentiation. Among thyroid neoplasms, TTF1 is seen in virtually all tumours of follicular derivation. In diagnostic pathology, TTF-1 is useful as marker for pulmonary adenocarcinoma and pulmonary neuroendocrine malignancy, including small cell lung carcinoma. It can be used to differentiate primary lung adenocarcinoma from metastasis of extrapulmonary origin.

Specifications

Catalog No.
BX50074
Clone No.
BP6079
Application
IHC-P
Subcellular location
Nucleus
Control
Thyroid
Recommended method
HIER
Volume
100μl/vial, 1ml/vial
Dilution
1:100-1:200
Immunogen
Synthetic peptide corresponding to residues within aa50-150 of TTF-1 was used as an immunogen.

Reference

1.Agoff SN, Lamps LW, Philip AT, et al.  Mod Pathol 2000,13:238-242.
2.Bingle CD. Int J Biochem Cell Biol 1997;29:1471-1473.

Support Documents

Order

  • E-mail : sales@biolynx.cn

Contact Us

Address
Hangzhou Bailing (Biolynx)  Biotechnology Co., Ltd. Room 1303 Bldg 5, #688 Bin’an Road Tianhe High-tech Park, Binjiang District Hangzhou, Zhejiang, China
310052
Phone & Fax
+86 571 88177680
+86 571 88177681
Web & Mail
Email:sales@biolynx.cn
www.biolynxtec.com

Follow Us

Scan QR Codes on Your Phone