WT1 Recombinant Rabbit Monoclonal Antibody

The WT1 gene located at chromosome 11p13 codes for a transcription factor, a DNA-binding nucleoprotein, that plays a role primarily in the development of genitourinary organs. There are at least eight isoforms ranging between 52 and 62 kDa produced by a combination of alternative splicing and RNA editing. WT1 is synthesized and reside in the cytoplasm in an inactive form. When activated through phosphorylation it is translocated to the nucleus. WT1 influences cell proliferation by suppressing bcl-2 and regulating cadherin and p53.

In normal epithelia, nuclear WT1 expression is largely restricted to ovary (surface epithelium and inclusion cysts) and fallopian tube, while WT1 is not found in endometrial or cervical epithelium. As regards nonepithelial cells, nuclear WT1 is found in mesothelium and some submesothelial stromal cells, stromal cells of the female genital tract, testicular non-germinal cells, and kidney (podocytes). In tumor tissues, WT1 is detected in tumor cells of Wilms’ Tumor (also known as nephroblastoma) and mesothelioma. Additionally, WT1 expression has been found in ovarian serous carcinomas and some breast carcinomas.WT1 is particularly used for distinguishing malignant mesothelioma and ovarian serous carcinoma from nonserous carcinomas. As for malignant mesothelioma, calretinin and WT1 are superior to cytokeratin 5/6, N-cadherin and thrombomodulin. WT1 is also applicable for the differential diagnostic of small cell childhood tumours.

Specifications

Catalog No.
BX50057
Clone No.
BP6062
Application
IHC-P
Subcellular location
Nucleus
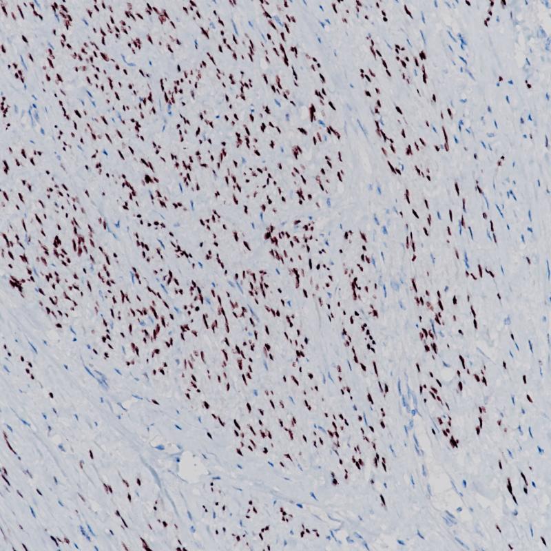
Control
Ovarian cancer
Recommended method
HIER
Volume
100μl/vial, 1ml/vial
Dilution
1:100-1:200
Immunogen
Synthetic peptide corresponding to WT1 residues within aa1-100 of WT1 was used as an immunogen.

Reference

1.Carpentieri DF et al. Mod Pathol. 2002 Oct;15(10):1080-6.
2.Goldstein NS et al. Am J Clin Pathol. 2002 Apr;117(4):541-5.

Support Documents

Order

  • E-mail : sales@biolynx.cn

Contact Us

Address
Hangzhou Bailing (Biolynx)  Biotechnology Co., Ltd. Room 1303 Bldg 5, #688 Bin’an Road Tianhe High-tech Park, Binjiang District Hangzhou, Zhejiang, China
310052
Phone & Fax
+86 571 88177680
+86 571 88177681
Web & Mail
Email:sales@biolynx.cn
www.biolynxtec.com

Follow Us

Scan QR Codes on Your Phone